秀影立声 视界不凡

P50 Plus

彩色多普勒超声诊断系统

广告

P50 Plus

采用超声系统平台——极光,极代表极速硬件响应,光代表耀人的图像质量,“极光”预示绚烂夺目,光彩耀人。它将多款新型芯片及超高集成化硬件模块进行整合,大幅提升图像帧频。同时采用CPU+GPU并行处理技术,均衡了高端系统性能与小巧灵动机身。它极致的处理速度,高端的应用功能,丰富的探头搭配,将为您带来前所未有的优质体验,让超声检查变得更加便捷、高效。

  • 清晰成像

    图像质量始终是临床检查的核心。极光平台通过强大的硬件结构,高端的探头技术和先进的处理算法,为您提供清晰的图像,增强临床诊断信心。

  • 高效便捷

    常规超声检查和复杂的操作流程使超声临床医生的压力与日俱增。极光平台提供的扫查助手简化了部分工作流程,同时搭载自动化测量工具,高效便捷。

  • 高级功能

    超声检查越来越普遍,临床应用也越来越广泛。极光平台搭载了一系列高级成像功能,帮助临床医生在不同的检查科室实现多方位筛查。

简约时尚 如影随形

简约却不简单是P50 Plus贯穿始终的设计理念。高度集成化的硬件平台打造出紧凑简洁的外观;全面的硬件配置为您带来不凡的操作体验;优异的移动性能随时随地响应您的多科室应用需求。

  • 全贴合高灵敏度触摸屏

  • 缆线归置卡槽

  • 内置大容量锂电池

  • 全激活互通互用探头接口

  • 单晶体探头

    先进的单晶体探头具备优异的声学性能和超高的频带宽度,以更高的穿透力 和优异的图像性能为成像困难的患者提供更多的诊断信息。

  • μ-Scan微米成像技术

    微米成像技术提升了对组织斑点噪声信号的抑制能力,并进一步强化边界信息,从而获得信噪比更优、边界更清晰锐利的图像。

  • 匹配跟踪技术

    随着组织深度的变化,超声接收频率进行智能匹配跟踪,确保图像中、远场良好的穿透力以及整场一致的分辨力,从而得到均一的画质。

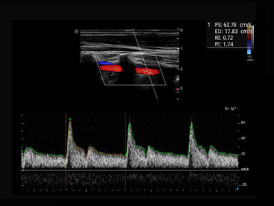
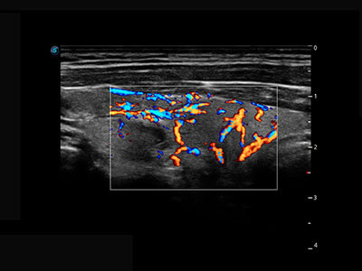
  • 微血流成像技术

    通过对组织运动信息、血流信号及背景噪声进行准确阈值判定,高效提取出微弱血流信号,获得高灵敏度的空间分辨率的血流图像,为临床提供更加真实、丰富的诊断信息。

多科室应用

  • 腹部、浅表应用

  • 妇产应用

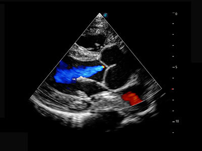
  • 心血管应用

  • 病案管理

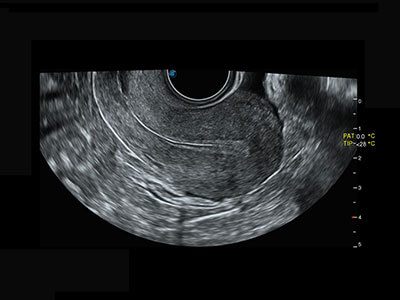
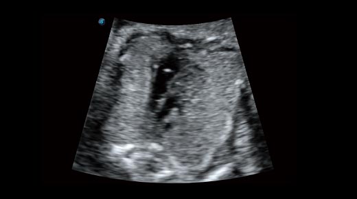
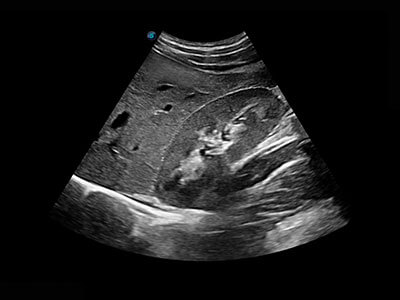
临床图

禁忌内容或者注意事项详见说明书